Orthodontics is a specialized field of dentistry focused on diagnosing, preventing, and correcting misaligned teeth and jaws. Using appliances like braces or clear aligners, orthodontic treatment can improve bite function, facial aesthetics, and long-term oral health. It’s suitable for patients of all ages and plays a crucial role in preventing future dental complications.
Properly aligned teeth are easier to clean, reducing the risk of cavities, gum disease, and plaque buildup.
A straighter smile boosts self-confidence and improves facial symmetry.
Correcting bite issues reduces jaw strain, improves chewing efficiency, and prevents tooth wear.
From children to adults, modern orthodontics offers flexible treatment options for every stage of life.
Each patient receives a personalized strategy based on their dental structure and goals.
Post-treatment retainers and follow-ups help ensure a lifetime of benefits.
An initial exam, including digital scans and imaging, assesses the condition of your teeth and bite.
Advanced software is used to design a treatment plan tailored to your unique dental anatomy.
Braces or clear aligners are applied to gradually shift teeth into proper alignment.
You’ll visit the orthodontist regularly for adjustments, ensuring your treatment is progressing as planned.
After active treatment, retainers help maintain the new position of your teeth to prevent relapse.
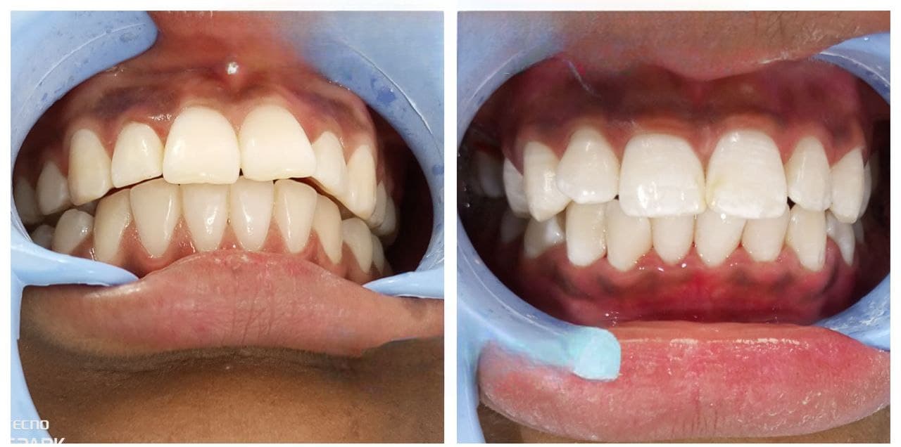
See the amazing transformations our patients have achieved

Teen patient with severe crowding successfully treated with metal braces over 18 months.

Adult patient corrected overbite using Invisalign over a 14-month period.
Schedule your free consultation today and take the first step towards your perfect smile.
Free consultation • Flexible payment plans • Insurance accepted