Periodontics is the dental specialty focused on preventing, diagnosing, and treating gum disease and other conditions affecting the supporting structures of the teeth. Treatment may include deep cleanings, gum grafts, laser therapy, and bone regeneration procedures. Early intervention and proper maintenance can help preserve your natural teeth and improve your overall oral and systemic health.
Effective gum treatment helps retain natural teeth by stabilizing the bone and gum support.
Removes infection and inflammation, promoting healthy, pink, and pain-free gums.
Eliminates bacteria and plaque that cause persistent halitosis linked to gum disease.
Treating periodontal disease may lower risks associated with heart disease, diabetes, and pregnancy complications.
Modern periodontics includes laser-assisted therapies that reduce discomfort and recovery time.
With proper maintenance, periodontal treatments can protect your smile for decades.
Gums, pockets, and bone levels are assessed using X-rays and probing to determine disease severity.
Scaling and root planing (deep cleaning) removes plaque and tartar below the gumline to reduce infection.
After initial treatment, the gums are reassessed and a maintenance schedule is created (typically every 3–4 months).
For advanced cases, procedures such as flap surgery, bone grafting, or gum grafting may be performed.
Routine cleanings and monitoring help prevent recurrence and support long-term gum and bone health.
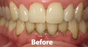
See the amazing transformations our patients have achieved

Patient with moderate periodontitis treated with deep cleaning and laser therapy.
Schedule your free consultation today and take the first step towards your perfect smile.
Free consultation • Flexible payment plans • Insurance accepted